For many, visiting a Dentist can stir anxiety, but at Smylzz Dental Care, Dr. Aparna redefines the experience with warmth, expertise and a heartfelt commitment to patient comfort.
With over 22 years of experience she combines professionalism and compassion to transform dental visits into positive, fear- free experiences.
She stays at the forefront of dental innovation through continuous upskilling & adopting cutting edge technologies.
Over 95% of her new patients come through personal recommendations from her loyal & satisfied existing patients. This comes as no surprise since her retention of patients are well over 90%. Her patients refer their immediate family and friends to Dr. Aparna because they trust her.
Her team includes Oral Surgeons, Orthodontists, Implantologists and Prosthodontists who are equally adept with updated dental technology and come with vast experience.
Dr. Aparna proves that exceptional dental care can co-exist with compassion and comfort. Whether you are due for a dental check up or seeking a dental care provider who genuinely cares, Smylzz Dental invites you to experience the difference.
Experience top-quality dental care focused on your smile’s health and beauty. Trust us to create a brighter, healthier tomorrow.


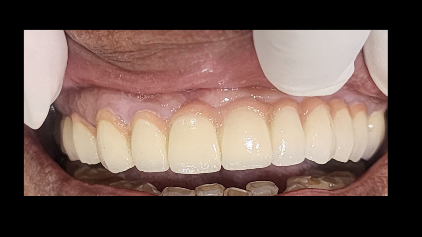
Your smile tells your story. At Smylzz Dental, we tailor every smile makeover to match your unique personality, using advanced techniques to bring out your natural beauty and boost your self-esteem—one smile at a time.

Laser dentistry utilizes focused light beams to perform a variety of dental procedures, offering a less invasive and potentially more comfortable alternative to traditional methods.

Cosmetic Dentisty is useful for enhancing the appearance of your teeth, gums, and overall smile, leading to increased confidence and self-esteem

Preventive dentistry includes cleanings, sealants, fluoride, and contactless air polishing

Straighten teeth with braces, aligners, or expanders for improved oral health and confidence.

Restore damaged or missing teeth with fillings, crowns, bridges, implants, and dentures.
Our diode laser technology sets us apart from other dental practices, providing you with a unique and superior dental experience.
Discover the benefits of diode laser technology for yourself. Contact us to book your appointment and experience the difference!
Combining skill with an artistic eye for natural beauty.
From 3D imaging to pain-free lasers, we prioritise precision and comfort.
Your comfort, goals and satisfaction guide every decision.
I have known Dr Aparna for over 10 years. She is the most gentle and patient dentist that I have met. Her personalized attention is truly appreciated. And her expertise is admired. Her staff is very well trained. Levels of hygiene at her clinic are top class.I always feared a visit to the dentist and would always delay treatment. But thankfully she has rid me of that fear. I take my aged mother to her often. And both of us come back extremely satisfied. Thanks Dr Aparna.
Dr. Aparna Chuggani is an excellent doctor. She is thorough with her examination.....she is lucid and detailed with her explanation......she is empathetic and patient during preparation.....she is careful and gentle during procedure.......she is encouraging during follow-up.......she is supportive during treatment.....and these are testimonies of her knowledge and expertise.....
If you want to end your Fear of Dental Treatment, you need to meet Dr Aparna. She is kind, patient and extremely good with her work. She impacts not only your dental health but also heals the paranoia attached to it. She is God sent! Thank you Dr Aparna for being such a star!
Ready to take the next step towards a healthier smile? Use our easy online booking system to schedule your dental appointment. Simply select a convenient date and time, provide some basic information, and we’ll handle the rest.
We always take care of your smile
Copyright © 2025 All Rights Reserved.